• $ 75.23
  • 88.45
  • ¥ 11.03
5 октября 2023, 11:41
  1. Главная
  2. Россия и мир
  3. Жительница Сахалина 80 лет прожила с иглой в мозге

Жительница Сахалина 80 лет прожила с иглой в мозге

Жительница Сахалина 80 лет прожила с иглой в мозге Жительница Сахалина 80 лет прожила с иглой в мозге

Фото: Минздрав Сахалинской области

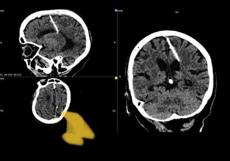
На Сахалине рентгенологи столкнулись с необычным случаем – у 80-летней пациентки они обнаружили трёхсантиметровую иглу в мозге. Женщина даже не подозревала, что у неё в голове есть инородное тело, сообщает в телеграм-канале Минздрав Сахалинской области .

Женщина живёт с иглой в голове с рождения. Врачи предполагают, что таким образом родители пытались умертвить ребёнка в сложное военное время. Такие случаи в голодные годы были не редкостью.

Девочке повезло – игла проникла в левую теменную долю мозга, но она выжила. При этом головные боли пациентку никогда не беспокоили. Иглу обнаружили только в этом году при проведении компьютерной томографии.

Медики решили не проводить операцию, так как это может только ухудшить состояние женщины. Здоровью пациентки ничего не угрожает, за её состоянием наблюдает лечащий врач.

Как сообщает РЕН ТВ, иглы в телах детей врачи регулярно находят по всему миру. В январе этого года в Узбекистане нашли 16 иголок в теле 11-месячного малыша. Врачи извлекли инородные тела, однако до сих пор неизвестно, как иголки попали в тело ребёнка.

По словам специалистов, попадание в головной мозг инородного тела обычно заканчивается летальным исходом, но некоторым людям удается прожить всю жизнь, даже не подозревая о наличии такого «секрета» в голове.

5 октября 2023, 11:41 Жительница Сахалина 80 лет прожила с иглой в мозге На Сахалине рентгенологи столкнулись с необычным случаем – у 80-летней пациентки они обнаружили трёхсантиметровую иглу в мозге

Как вам новость?
😀
0
😍
0
😢
0
😡
0
👍
0
👎
0
Поделиться